Realidad virtual
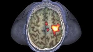
Simuladores con IA leen la actividad cerebral de los pilotos y ajustan el entrenamiento
Pablo Javier Piacente / T21 10/02/2026 - 17:47 CET 0 Comentarios
OriRing: el anillo háptico inspirado en el origami que permite “tocar” la realidad virtual
Pablo Javier Piacente / T21 27/01/2026 - 15:22 CET 0 Comentarios
La realidad virtual ayuda a las personas mayores a reconectarse con la vida real
Pablo Javier Piacente / T21 31/12/2025 - 14:45 CET 0 Comentarios
La realidad virtual reduce el miedo a la muerte, según un nuevo estudio científico
Pablo Javier Piacente / T21 30/12/2025 - 14:45 CET 0 Comentarios
Una prueba matemática desmiente la idea de que el Universo es una simulación informática
Redacción T21 31/10/2025 - 08:40 CET 0 Comentarios
La alicantina Virtual Zone apunta a la Luna
David Navarro 21/09/2025 - 08:21 CEST 0 Comentarios
El Titanic atraca en Barcelona con una experiencia de realidad virtual inmersiva
Agnés Andreu 10/09/2025 - 12:16 CEST 0 Comentarios
Una nueva tecnología rompe los límites de lo real: permite recibir objetos físicos que provienen de la realidad virtual
Redacción T21 28/08/2025 - 09:40 CEST 0 Comentarios
El cerebro activa células inmunes cuando hay personas enfermas cerca
Pablo Javier Piacente / T21 31/07/2025 - 15:23 CEST 0 Comentarios
WWDC 2025 de Apple: todas las novedades en IA y dispositivos tecnológicos
Carles Planas Bou 09/06/2025 - 06:00 CEST 0 Comentarios
Meta impulsa su negocio militar: ahora venderá sus gafas al ejército
Carles Planas Bou 02/06/2025 - 10:55 CEST 0 Comentarios
- 00:33h La portada de EL PERIÓDICO del 15 de marzo de 2026
- 00:23h Carles Rebassa y Antònia-Carré Pons coronan la primera gran Nit de les Lletres Catalanes
- 00:09h Dani Fernández, una insurrección pop que llena de fieles el Palau Sant Jordi
- 00:02h Los grandes premios de Baréin y Arabia Saudí no se disputarán en abril por la guerra de Irán
- 23:20h Francia gana un Seis Naciones caótico e Irlanda conquista la Triple Corona
- Derecho a una muerte digna Pere, con depresión severa desde hace 20 años, pide la eutanasia por tercera vez: "Mi vida no es digna, padezco un sufrimiento crónico e intratable"
- Accesibilidad Dos niñas asturianas con una discapacidad del 78% logran una parada de transporte escolar más cerca de casa tras un año de lucha: "Ha sido agotador
- Análisis La Comisión Permanente del Poder Judicial rechaza archivar las diligencias sobre el juez Peinado que propone el Promotor de la Acción Disciplinaria
- El rearme español El Ejército compra por un millón de euros una nueva morgue móvil
- Cine Primeras reacciones al estreno de 'Torrente, presidente': "Para esto vale la pena ir al cine"
- Al minuto Ataques de EEUU e Israel en Irán, en directo | Última hora: EEUU bombardea la isla de Jarg, uno de los epicentros petroleros de Irán
- Estados Unidos Trump vuelve a atacar a España: "No están cooperando en absoluto"
- Control de las plataformas "Es un disparate": expertos en libertad de expresión alertan sobre el plan del Gobierno para rastrear la "huella del odio" en Internet
- GUERRA EN ORIENTE MEDIO El Gobierno enfría volver a los descuentos en los combustibles y planea rebajas fiscales especialmente para agricultores y transportistas
- Guerra en Oriente Medio EEUU afirma que el nuevo líder supremo de Irán está herido y "posiblemente desfigurado"