INVESTIGACIÓN
Esperanza para pacientes parapléjicos: reconectan la médula espinal seccionada de una rata con espumas de grafeno
Una investigación del CSIC, en colaboración con el Hospital de Parapléjicos de Toledo, demuestra el potencial de este material en la búsqueda de una cura para la lesión medular

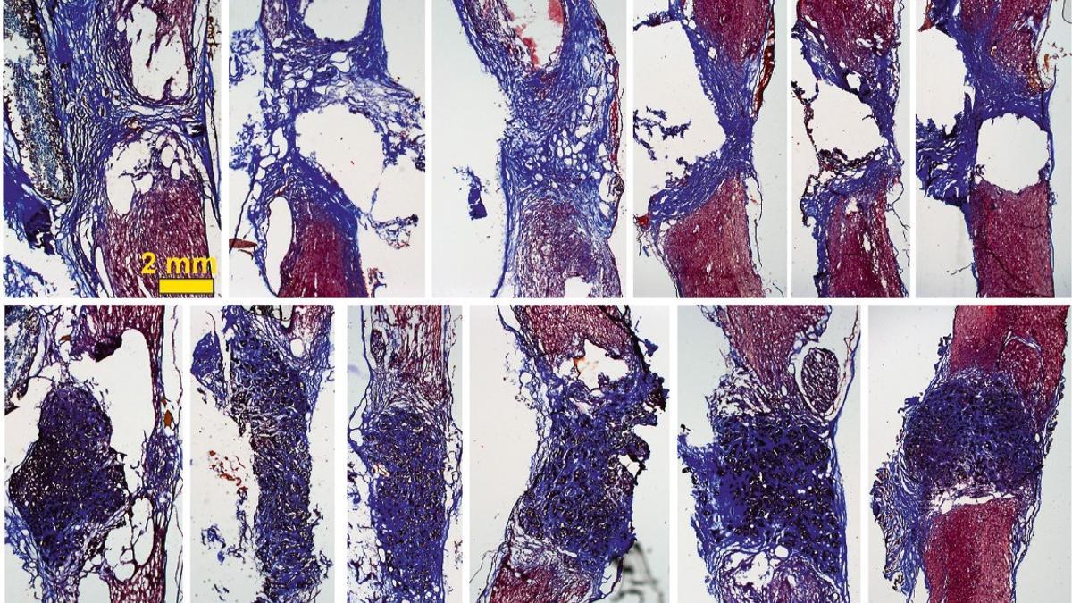
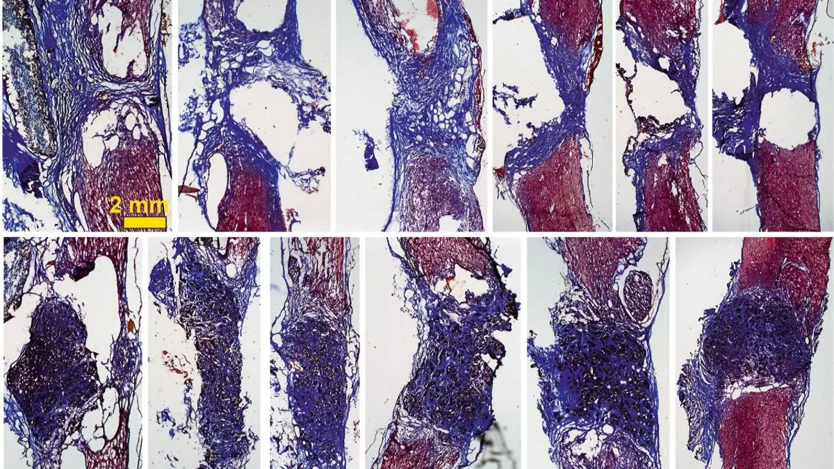
Los tejidos de nuevo crecimiento ‘colonizan’ el espacio de la lesión en la médula espinal gracias a la espuma. / HNP

Un equipo del Instituto de Ciencia de Materiales de Madrid (ICMM-CSIC), que depende del Ministerio de Ciencia, Innovación y Universidad (MICIU), en estrecha colaboración con investigadores del Hospital Nacional de Parapléjicos, centro dependiente del Servicio de Salud de Castilla-La Mancha (SESCAM), ha logrado reconectar, en un modelo de rata, una médula espinal totalmente seccionada a nivel torácico gracias a una espuma en tres dimensiones creada con óxido de grafeno reducido. El trabajo, que acaba de publicarse en la revista Bioactive Materials, demuestra el potencial de este material para el tratamiento de las lesiones medulares, y abre nuevos caminos de investigación hacia la cura de pacientes parapléjicos en diferentes estados de la enfermedad.
Los investigadores explican que, cuando se produce una lesión en la médula espinal, lo habitual es que esta no se rompa por completo, sino que las lesiones suelen afectar solo a una parte concreta, en uno o varios niveles de la extensión de la médula. Aun así, este trabajo ha querido demostrar que este material puede potenciar la reconexión del tejido neural incluso cuando la lesión es completa.
Así lo explica Conchi Serrano, investigadora del ICMM-CSIC y una de las autoras principales del trabajo: "Nuestro equipo había demostrado, ya que estas espumas generan un ambiente prorreparativo en la médula espinal de rata, pero queríamos hacerlo también ampliando el tamaño de lesión y cambiando el nivel espinal, y hemos conseguido replicar los resultados".
El Hospital de Parapléjicos
Lo que ha conseguido este grupo, en estrecha colaboración con investigadores del Hospital Nacional de Parapléjicos de Toledo como Juan de los Reyes Aguilar, Elisa López y Juliana Martins, ha sido preparar una espuma (llamada 'scaffold') con óxido de grafeno reducido: "Se le hace un tratamiento térmico, a 220ºC, para eliminar el exceso de grupos de oxígeno y aumentar los enlaces químicos entre láminas, con lo que conseguimos una mayor estabilidad mecánica", explica Serrano, que lleva trabajando en este material para aplicaciones de regeneración neural más de una década.
De esta manera, cuando se coloca el 'scaffold' en la médula espinal --en este caso en un modelo de rata con la médula espinal completamente seccionada a nivel torácico--, los investigadores han visto "que aparecen gran cantidad de vasos sanguíneos, que son fundamentales para nutrir el nuevo tejido, y neuritas (los filamentos que unen unas neuronas con otras)".
10 días tras el implante
La investigadora explica que con esto observan "cómo las neuronas que han sobrevivido en la zona alrededor de la lesión proyectan sus prolongaciones a través del 'scaffold' y lo invaden en toda su extensión 3D". Todo esto, además, mejora con el tiempo: los resultados son incipientes tras 10 días de implante, pero son mucho más evidentes a los cuatro meses.
"Nuestros 'scaffolds' de óxido de grafeno reducido favorecen el crecimiento de vasos sanguíneos más abundantes y más grandes, y neuritas más abundantes, más largas y, además, distribuidas de manera más homogénea en el espacio de la lesión", explica Serrano.
Respuesta del cerebro
Además, han llevado a cabo registros electrofisiológicos (técnicas que permiten conocer la fisiología de los sistemas vivos) con los que han observado la respuesta del cerebro cuando se estimula la médula por debajo de la zona dañada, y los resultados son más que reveladores: "Registramos respuesta en el cerebro, por lo que confirmamos no solo que hay tejido neural atravesando el scaffold, sino que vuelve a reconectarse con el cerebro". En concreto, la respuesta se aprecia en la formación reticular, una zona de gran relevancia funcional para la función motora.
Este trabajo, explican desde el gran centro hospitalario manchego, forma parte del proyecto Piezo4Spine, financiado por la Unión Europea a través del programa Pathfinder de Horizonte Europa y que busca curar las lesiones medulares gracias a la nanotecnología. Con este objetivo se están desarrollando también nanomedicinas, que en la siguiente fase de estos trabajos serán incorporadas al 'scaffold' para promover aún más "estos hallazgos regenerativos tan prometedores".
- Detectado un caso de tuberculosis entre los trabajadores de las obras del Camp Nou
- Residir cerca del mar no alarga la vida: en el interior de España se vive hasta 10 años más que en la costa
- Vídeo | La retirada del camión accidentado el sábado en la AP-7 provoca retenciones de más de 10 kilómetros en Tarragona
- Protecció Civil enviará alertas 'menos invasivas' para casos sin riesgo inminente
- ¿Por qué el camión accidentado en L'Ametlla mantiene cortada la AP-7 30 horas después?
- Los ingenieros apuestan por conectar el río Ter con el norte de la Costa Brava en casos de emergencia
- El investigador Manel Esteller ficha por Sant Pau y no se marcha a EEUU
- La justicia archiva el caso de la menor vendida en Mollerussa por falta de pruebas y ordena su regreso con la familia